央企投资 全国连锁 20⁺年品牌


“十八岁时,张洁梦想做一名涉外导游。她噪音清脆,性格开朗,英语也很好,但家人只认同医生和教师两个职业。高考前,在三位医生长辈的“一致决定”下,她的志愿被填上了口腔医学专业。反抗无效后,张洁被迫接受现实,她的人生开始偏离自己的剧本。”
成都天府一街,新桥口腔高新院区。牙椅上,患者已经差不多张嘴两个小时,很难受。张洁问她要不要改为简单的术式,她摇头。稍稍休息后,手术继续。最终,这台耗时三个半小时的上半口即刻负重穿翼手术顺利完成。“种植位置擦上颌窦腔、擦神经管,非常极限!这样的高难度手术一定是医患相互信任、共同奋战才能完成的,是我们一起努力的结果。”
张洁是新桥口腔首位开展无牙颌种植、穿翼种植手术的女医生,也曾是新桥最年轻的院区主任。她用了三个关键词评价自己:柔中带刚、有主见、不妥协。“我的不妥协,一是在医疗原则上绝不让步,二是遇到复杂、疑难病例时直面困难,在自己的能力范围内把每一台手术都做到最好!”
但谁能想到,张洁的医生之路竟然始于妥协。

梦想破灭 挣扎完认命
张洁一度很嫌弃自己的专业,大学里选择躺平,在父亲“挂一科每月少给50元生活费”的鞭策下完成了学业。毕业回家,她和父母冷战了一个月,然后一言不发背上包就出门了。“我当时很喜欢长沙,到那以后找了好几天工作,发现自己啥也不是……就在酒店旁的网吧里充了钱天天打游戏。”
两周后张洁想明白了,给家里打了个电话。父亲说每天都在担心她,接电话时想到了两种可能:没钱了,出事了。结果让他很欣慰,女儿说要回家。
铩羽而归后,张洁认清现实,接受了医生这个职业。她入职一家综合医院的口腔科,科主任是当地知名的口腔专家,张洁在他的带教下入行、上手,成为一名口腔全科医生。
离家千里 事业心觉醒
三年后,张洁恋爱、成家,日子波澜不兴。婚后丈夫被派往成都工作,她辞职同往。
在成都,张洁首先面临的问题是找工作。公立医院门槛高,条件好的私立诊所选择不多,长沙的记忆又历历在目,只是这次再没人为她兜底了。“所有的事情都要靠自己,那我拿什么来靠自己?只有工作。”最终,凭着出色的综合能力,张洁应聘到一家知名口腔诊所。随后,她开启了奋斗模式。
张洁从一开始就有着清晰的职业规划,每到一个时期会去思考自己的职业道路和目标要不要调整,同时非常清楚自己的优势劣势,懂得扬长避短,这让她的事业发展非常顺利。2014年,张洁当了妈妈,休完产假后她开始担任门诊主任。也在这一年,她做了第一例种植牙手术,专业方向从口腔全科转为口腔种植。

新桥五年 进击的医生
2018年5月,张洁入职新桥口腔。虽然之前担任过两家口腔连锁机构的门诊主任,但她认为自己仍是个小医生,“确切地说,我的技术成长期应该是在来新桥后。”入职四个月后,新桥口腔成都高新院区开业,32岁的张洁担任院区主任。“新桥把这个重要的岗位给了我,重任在肩,我必须变得更优秀才能不辜负大家的信任。”

2018年,张洁担任新桥口腔成都高新院区主任
整整一年,张洁每两个月就要外出学习一次。“我的学习不局限于种植,我上牙周课的时间和费用和种植课是一样的。因为种植医生不能只懂种植、只懂外科,还要掌握修复、咬合、牙周等专业的知识技能。”从基础课程到高阶课程,这些年来,张洁已获得数十项口腔专业认证。她同时也非常注重理论学习,家里的专业书籍摞起来有一米多高。扎实的基本功和大量的临床实践,让张洁的种植技术稳步提升。

2020年,张洁完成了第一例无牙颌种植手术,在此之前,新桥口腔只有男医生能做这种手术。能有这样的突破,同事的鼓励功不可没:“你其他术式都做得很好了,又上了那么多无牙颌的课,我觉得你可以做!”
在个人技术提升的同时,张洁所在的高新院区各方面业务稳步发展,口腔种植案例数量不断增加,种植修复医生团队逐步壮大。2020年,原华西口腔医院种植专家李华担任新桥口腔成都高新院区业务院长,院区技术实力进一步提升,专科发展如虎添翼。

左图:张洁在“四川观察”直播间解读种植牙集采政策 右图左二:张洁参加四川省口腔种植专委会2021年冬季学术年会
天赋手感 助力高难度种植
最近,张洁又完成了几例高难度种植手术。她可以不依靠导板,根据患者口腔里各个点位的关系准确避开上颌窦,完成种植。“我觉得其实手感很重要,你第一钻打下去大概是CT上的哪一个位置,碰到的是软骨还是硬骨,应该心里有数。眼睛看到的和你手上感触到的这些信息要能联结到一起,做到手眼相通。”
张洁认为女性的触感更好,她术中更多是凭借手感去操作,不用反复拍片和试探。“医生一定要从大量手术中找感觉,提高手感,再通过设备的辅助去达到一个完美的结果,没有足够的手感就不要上大手术。”
半年前,一位51岁的患者找到张洁,想做上半口无牙颌种植。她之前去过华西口腔,医生建议选择其他修复方式,张洁是她能找到的唯一愿意实施无牙颌手术的医生。
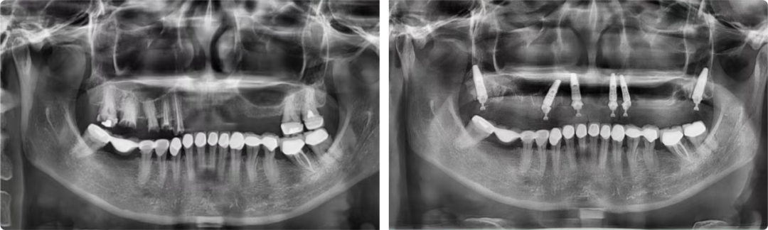
做完CBCT检查,张洁发现患者的情况非常棘手:牙槽骨骨量不足、骨质疏松,能选择的种植点位非常有限且靠近上颌窦,种植体容易穿透,造成种植失败。张洁为患者精心制订了All-On-6半口即刻负重穿翼种植手术方案,这个方案难度很高,但效果最为理想。

患者术前术后全景片
事实证明,手术难度超出预期:拔第一颗牙就发现有粘连,牙槽骨存在慢性炎症,而这个点位是准备做穿翼板种植的。“这种情况真是雪上加霜!每一颗我都做得非常谨慎,需要把手感发挥到极致,但凡有一颗种不上,手术到此结束,整个治疗方案就会失败!”术中,张洁不断提醒自己再细一点,手感再好一点。
这台手术历时三个半小时,比平时多花了一倍多时间,所幸的是六颗种植体全部成功负重。术后,患者顺利戴冠,咬合良好。
人前大女主 人后下苦功
事业遂顺,家庭美满,张洁是别人眼里的人生赢家。她认为事业和家庭可以相互促进,“婚姻关系里两个人都优秀的话才能更长久、更平衡,对方一直在努力,自己也不能懈怠。”
从小医生一步步成长为独当一面的大主任,张洁的经验是练好基本功,理论、实操都要下功夫,不要妄想走捷径。她认为基本功是“1”,有了“1”后面才有无限可能。“首先,强大的理论知识是基础,一定要多看书,多学习种植相关的专业书籍,这是提前预见困难和危险的很重要的途径;然后要不断总结,每做完一台手术要去复盘,知道哪里有不足,下次怎么处理。”

“比如下种植体,我是一把到位,还是要反复调试才能到位,不能到位的原因是什么?是哪个环节没控制好?每次都想为什么没有做到一百分,错在哪里?长此以往,手术就会做得又快又好。当你把现有的手术做好了之后,你会发现做更高阶的手术就水到渠成了。”
对基本功的重视也延续到张洁的生活中,她学习骑马有一段时间了,一直在练最基础的动作,目前刚刚学会快步。当她把练习视频发到朋友圈后,有内行称赞她基本功超级轧实,动作标准,骑步稳健。

作为院区主任,张洁承担着年轻医生的主要带教任务,高新院区有一批基本功扎实的年轻医生,张洁说自己的目标是做最好的半全口种植团队,希望能和大家相互成就。说这句话时,她的眼神是认真的。
口腔种植具有一定的失败概率,高难度种植尤其如此,张洁认为不能因为怕失败就放弃努力,但也不能心存侥幸。
“侥幸,是你知道它有可能出错,想赌赌运气;努力,是知道它很困难,还是会去积极应对,追求最好的结果。”成为医生十多年来,张洁的选择是:要努力,不要心存侥幸,别把自己当锦鲤。