央企投资 全国连锁 20⁺年品牌


立冬前夜,成都的气温依然维持在十多度。这是摘下口罩后的第一个冬天,也是四川省种植牙集采政策实施后的第一个冬季就诊高峰。晚上近九点,王旭东做完了最后一台手术,诊室外还有顾客在等候。
“按以往的经验,每年春、冬两季是种植牙顾客就诊比较集中的时候,去年因为疫情原因就诊高峰延迟到了春节后,但今年我们提前进入了加班模式,经常晚上七八点钟才下班。”
从业二十多年来,王旭东经历了口腔行业的快速发展,也赶上了口腔医疗技术革新的大潮。出身于普通家庭,没有名校光环,王旭东自认为“起点不高”,但他凭着自身的努力和不甘人后的精神练就了一身好技术,成为国内较早掌握All-On-4/6半口全口种植技术的75后医生之一。回想起这些年的职业生涯,他庆幸自己当初的选择:“最关键的几步,都走对了。”
放弃编制 南下广东打拼
2000年,王旭东从医科大学毕业后被分配到家乡一所公立医院的口腔科工作,那是国家包分配工作的最后一年。工作后,他发现来看牙的患者很少,基本都只是做拔牙、龋齿等基础治疗,科室在医院不受重视,医生个人的成长空间有限,看不到未来。半年后,王旭东顶着家里的压力辞职了,带上简单的行李,他登上了南下广东的列车。
在当时,放弃公立医院编制属于非常叛逆的行为,他知道,这一走就没有回头路了。
那时候,去广东是很多人的选择,那里是改革开放的前沿,有着数不清的机会,只要愿意吃苦就能找到工作。虽然对自己的临床技术很有信心,但王旭东还是做了最坏的打算:如果做不了医生,哪怕进厂打工也行,等赚了钱再去进修深造。
旭日东升 十年历练再返川
在广东顺德,王旭东成功应聘到一家当地知名口腔连锁机构工作。在这里,他接触到了大量需求各异的患者,结识了很多优秀的同行和同事,大家一起探讨病例,交流学习,工作氛围非常好。勤学好问、性情温和的“老王”很受同事和顾客喜欢。在这期间,王旭东的临床技术得到了快速提高,尤其在美学修复方面积累了很多经验,“广东经济发达,顾客对美学要求高,很多人为了美观来做金牙、烤瓷牙,这是我在老家医院没有机会尝试的。”
不久后,正畸治疗在国内兴起,王旭东又系统学习了口腔矫正技术,逐步成长为一名技术全面的口腔医生。
事业渐入正轨后王旭东在广东安了家,把父母也接到了身边,多年前的出走有了一个圆满的结局。几年后,父母难以适应炎热干燥的气候,提出想回四川老家。已是诊所骨干的王旭东再次面临选择,最后,性格敦厚的他放弃了打拼十年的平台,决定随父母回川生活。
好消息是,这十年,成都也涌现出一批本土口腔医疗机构,包括创立于九十年代的新桥口腔。2011年,新桥口腔医院乔迁新址,四处物色优秀人才。新桥联系上王旭东后,双方一拍即合。当年五月,王旭东携家人回到成都,入职新桥口腔。
扎根新桥 赴华西深造口腔种植
2011年的新桥口腔只有衣冠庙一个院区,注册医生仅有十余人。王旭东在口内、口外、修复、正畸等方面都具有相当的技术实力和丰富的临床经验,是医院的骨干之一。除了技术好,他对待顾客亲切、耐心,人缘和口碑都非常好。
工作中王旭东发现,相比广东,四川地区的人们口腔健康意识比较薄弱,美学修复、口腔正畸等专科还有很大提升空间。“成都拥有以华西口腔为代表的超强技术实力,缺的只是理念,我会把广东的一些先进的医疗理念和服务意识带到工作中,更好地去服务顾客。”

工作和生活再次稳定下来后,王旭东没有停留在舒适区,他对新技术的学习没有停止。在医院的组织下,他和同事们通过进修、培训和参与学术会议开阔眼界,持续提升。
2010年左右,一项新的口腔修复技术受到患者群体的广泛关注,这就是口腔种植。当时国内掌握此项技术的医生不多,在四川基本只有华西口腔等公立三甲医院能开展,新桥口腔决定培养年轻医生开展口腔种植治疗。2014年,王旭东被公派前往华西牙种植医院深造口腔种植技术。

华西口腔是中国种植牙技术的发源地,早在90年代初就已开展种植牙临床治疗。深造期间,在国内种植先驱、原华西医科大学卫生部口腔种植科技中心副主任、现任新桥口腔成都玉双院区业务院长刘果生教授的亲自带教下,王旭东系统学习了口腔种植修复技术。回到新桥后不久,他成功完成了个人首例种植牙治疗,成为首位由新桥口腔自行培养的口腔种植医生。

留洋赴美 精研半口全口种植技术
随着新桥口腔院区规模的不断扩大,接诊量也在不断攀升,王旭东接诊了多例半口、全口缺牙的顾客。全口缺牙后的种植要达到理想效果,常规技术需要植入20颗左右的种植体,很多老人的牙槽骨条件有限,难以完成这么大数量的种植,即使符合条件,也面临着治疗周期长、痛苦大且费用高昂等问题。想要解决这个难题,需要掌握一项新的技术All-On-4/6,该技术只需要植入8至12颗种植体就能恢复全口咀嚼功能。
为了满足顾客的需求,夯实和提升新桥的技术实力,2018年,新桥口腔公派王旭东前往美国罗马琳达大学学习AAID MaxiCourse种植课程。该课程是由美国口腔种植学会(AAID)为培养专业种植医生而设立的国际金标准种植课程,课程内容包括单颗、多颗、全口种植、前牙美学种植、上颌窦提升、GBR骨增量手术、即拔即种、数字化引导种植等系统的口腔种植技术和实操训练。

王旭东在美国罗马琳达大学留影
2019年4月,王旭东顺利完成 China MaxiCourse 种植课程学习,同时获得美国AAID种植专科医师协会认证,他是该行业顶尖课程在中国招收的第二批学员之一。

上图:王旭东与罗马琳达大学种植科主任Jaime Lozada教授 下图:王旭东与MaxiCourse种植课程导师
跨年手术 成功实施首例全口
回国后,王旭东在新桥口腔陆续完成了多例半口种植修复治疗,积累了一定的临床经验。2019年岁末,王旭东接诊了一位72岁的陈姓老中医。陈老多颗牙齿缺失、松动,全口种植无疑是理想的治疗方案。老人家听完方案非常开心,坚决要做,还选择了高端系列的种植体。在感受到信任的同时,王旭东也倍感压力。
由于种植位置离下颌颏神经很近,无法按常规直立植入,只能斜行植入,难度较大。为确保万无一失,王旭东反复读片、定位,斟酌方案,捋着时差向美国的导师请教,并在导师的指导下对方案不断优化调整。一切准备就绪,手术时间定在2019年的最后一天。
2019年12月31日,拔牙、植入10颗种植体、取模、戴牙(临时修复体)、调整,当所有治疗程序全部完成,时针已滑过零点。这次跨年手术是王旭东完成的第一例全口种植修复治疗,也是陈医生过得最开心的一个元旦。新的一年,他终于可以正常吃饭、说话,无所顾忌地大笑了。

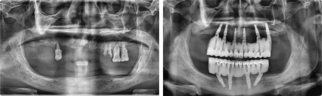
王旭东首例全口种植案例术前术后全景片
几年来,陈医生除了定期复查,还介绍了不少朋友前来找“老王”,今年十月,他又陪老伴来做了半口种植。看到王旭东工作繁忙,他还为王旭东把脉看诊,教给他中医养生知识,叮嘱他注意休息。
多年来,王旭东已完成口腔种植修复治疗数千例,半口全口种植数百例。他在前牙美学种植修复、正畸间隙种植修复等复杂、高难度案例方面经验丰富,种植牙顾客下至18岁上至91岁。

2019年6月,王旭东为全国著名角膜移植手术专家姚晓明教授种牙
从医20多年来,王旭东一直把自己放得很低,但从未停止攀登的脚步。“当年放弃了安稳的工作,选择未知的前程,没了退路反而让我走得更远!”
他感恩每一次机遇,也感谢自己的努力和选择,他不擅憧憬未来,更习惯默默行路,只争朝夕。