央企投资 全国连锁 20⁺年品牌
近日,结束种牙治疗的熊叔叔带着锦旗来到新桥口腔成都高新院区赠予门诊主任张洁,表达由衷感激。“医术精准,流传四方”,熊叔叔感慨道,“牙齿种好了,这感觉好极了!非常感谢张医生团队,让我再享口福!”

此前,熊叔叔一直饱受缺牙困扰,食不知味,生活质量严重下降。经朋友介绍来到新桥口腔成都高新院区,从踏入院区那一刻,他便被周到细致的服务打动。咨询人员耐心解答疑问,诊疗过程中医护人员悉心关怀,“就跟回家一样,每个人对我都特别亲切。”感受到新桥的技术和服务后,熊叔叔迫不及待想做种植手术,恢复好牙口。
一波三折 种牙遇上风险
新桥口腔成都高新院区门诊主任张洁接诊后,以专业严谨的态度为熊叔叔进行全面细致检查。通过CBCT检查、口内检查及问诊,判断熊叔叔需全口种植,结合体检报告并进行全面综合评估后,张洁主任医疗团队确认其患有高血压,不能够接受手术,建议控制好血压后再进行。希望落空,熊叔叔难掩失望,“高血压在我看来问题不大,但是医护人员耐心为我讲解了手术存在的风险,我只好下次再来种植。”

张洁医生解释,“熊叔叔的情况是相对禁忌证,像高血压、糖尿病、心脏病,只要把相关指标控制在一定范围内,也是有条件做种植的。待熊叔叔将血压控制好,就能接受种植手术了。”然而,熊叔叔第二次来院时血压依旧过高,无法手术。这次经历让他意识到问题严重性,特意就医并严格控制血压,第三次来院终于符合手术条件。
个性化定制 重获口福
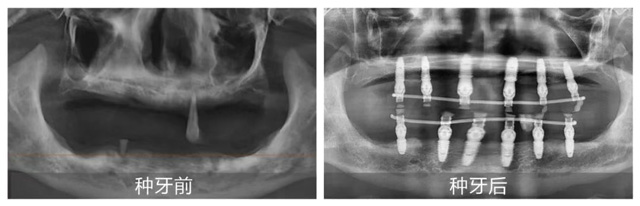
考虑到熊叔叔年龄较大且患有高血压,全口种植风险大、术后反应强,张洁为其制定半口种植方案。手术在家人陪伴下顺利结束,熊叔叔当天就戴上临时牙冠,恢复基础饮食功能。他激动地道,“这次终于种上了,原来种牙这么舒适,我根本不用操心,医护人员领着我检查,医生做手术我都没什么感觉。想到晚上就能吃东西,我太激动了。”
实力圈粉 为技术点赞
熊叔叔术后恢复理想,几乎无明显肿胀和痛感。他开心地表示,“我满意极了,现在吃的好,睡的香,日子过的美滋滋的!非常感谢张医生,技术真是没得说!以后周围人要种牙,我就让他认准张医生,准没错!”
结束治疗后,熊叔叔特意定制锦旗,感谢张洁医生团队。“张医生团队对我很有耐心,之前高血压也是严格把控,种植结束后,时不时回访我,提醒术后注意事项,定期提醒复查,他们的关怀都在这些细节里,让我万事无忧。”

新桥口腔种植修复中心凭借每年成功完成数万例种植修复案例的技术实力,位居业界前列。中心采用全球各类顶级种植系统,以微创种植、数字化种植、舒适化种植、半全口即刻负重种植为特色,全面开展各类种植修复治疗。按照三甲口腔医院标准,中心建立了口腔种植修复治疗区,并配备顶级全进口的口腔CT、全景机等设备,提供尖端数字化影像分析,为种植修复治疗提供了完善的硬件保障。未来,新桥口腔将继续秉持求真务实的态度,持续服务广大市民,帮助更多缺牙市民收获好口福!