央企投资 全国连锁 20⁺年品牌
精彩回顾
想拥有自信笑容,享受美食乐趣,又担心种牙手术?
为提升缺牙市民对种植牙手术安全性和可靠性的认知,缓解公众对手术过程的恐惧和疑虑,12月19日,“种牙真功夫”数字化种植牙手术直播第十九期在新桥口腔成都光华院区精彩上演,活动全程直播,邀请顾客零距离感受种牙全过程,共同见证缺牙重生。

“植”击现场 厂家科普种植体
新桥口腔传承华西品质二十余年,一直以来始终致力于为牙齿缺失的顾客提供优质的口腔医疗服务,坚持筛选优质、可溯源的国际主流种植体品牌,确保每一位顾客都能获得最佳的治疗效果和长期使用体验。
活动当天,德国ZUGA驻大中华区首席代表、儒伽医疗中国区品牌代表亲临手术直播现场,从植体品牌发展史、植体原材料、植体表面处理技术等多角度进行深度解读,让观众对种植体的质量和安全性有了更直观的认识。

大咖操刀 华西硕士现场讲解
本期直播由新桥口腔成都光华院区副主任医师谢海洋担纲主刀,为了帮助观众更好地理解手术过程和技术细节,现场还邀请到了华西口腔种植硕士、新桥口腔数字化诊疗中心主任李丹及新桥口腔成都光华院区负责人江燕进行了同步讲解。

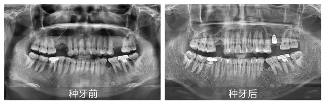
“数字化种植是新桥口腔的优势项目,无论是单颗还是全口牙种植,我们都会依据患者的口腔状况进行一对一3D数字化种植方案制定,通过使用数字化CBCT影像、3D口扫等完成术前一站式检查,有效规避后续治疗中可能存在的风险与误差。”针对今天种植直播的案例,李丹主任讲到:“我们在术前评估发现患者上颌骨量非常有限,骨高度仅为7毫米,而常规种植体至少需要8毫米的高度才能确保安全植入,为了避免可能出现的损伤,谢医生在种植手术中还需要再做一个专业、严谨的上颌窦提升手术。”

在李丹主任详细讲解的同时,手术室也已准备就绪,观众们通过实时投影,近距离见证了种植牙手术的过程。从术前消毒到定量麻醉,从精准植入再到严密缝合,谢海洋医生有条不紊地完成了每一个关键步骤,整个手术过程高效流畅。
零距观摩 术后答疑赢好评
谈及此次手术的感受,许女士特别强调了“快”。“从开始到结束,整个过程比我想象中要快得多,而且没有其他不适感。”她表示,在手术过程中,医生和护士也很认真详细地讲解,还会适时进行心理疏导,让她感到很轻松。


术后,主刀医生谢海洋重返直播现场,针对种植方案设计、术中操作等做了简要总结,并耐心解答了现场观众提出的问题。这种面对面交流的方式极大地增强了医患之间的信任度,缓解了现场缺牙顾客对于种植牙手术的恐惧和疑虑。
亲身说法 “种”出晚年好口福
活动现场,有两位成功接受过新桥口腔半口种植牙手术的老顾客——61岁的邓阿姨和72岁的朱叔叔来到现场,为在场的顾客分享了他们的亲身经历。
61岁的邓阿姨18岁就出现了牙齿问题,之后由于长期佩戴活动义齿,导致相邻的真牙陆续脱落,被牙齿问题困扰大半生的她来到新桥口腔寻求帮助,回忆当初上半口即拔即种的种牙经历,她表示整个过程特别顺利,没有感到任何疼痛,如今不仅能享受牛肉、甘蔗等食物,自己的笑容也变多了。
同样受到牙齿问题困扰多年的朱叔叔也在新桥口腔进行了下半口种植牙手术。术后,朱叔叔的生活发生了翻天覆地的变化。“以前吃饭都得挑挑拣拣,现在什么都能吃,再也不用担心牙齿的问题了。”

新桥口腔自成立以来,始终以传承华西品质的技术实力服务社会,致力于为广大市民提供高品质的口腔健康服务。未来,新桥口腔将继续开展种植手术直播等多种类型的科普宣讲活动,助力更多缺牙市民实现“好口福”的梦想!