央企投资 全国连锁 20⁺年品牌
11月29日,来自新疆、青岛的看牙亲友团一行七人在新桥口腔完成了口腔检查和洁牙等前期治疗,经新桥口腔技术总监陈刚、新桥口腔成都衣冠庙院区种植专科主任李阳军的综合评估和内科医生会诊后,为他们制订了涉及种植、修复、口内等多个专业的个体化治疗方案。
目前,安女士和刘先生已于次日完成种植牙手术。
一家七口 饱受缺牙问题困扰
据李阳军医生介绍,七位顾客平均年龄近70岁,口腔健康状况普遍较差,基本都存在缺牙、龋齿、牙周疾病等问题且长期未治疗,个别顾客还有特殊病史,存在一些与治疗相关的禁忌证。
“有一些情况对于口腔种植来说,是绝对禁忌证,是绝对不能做种植手术的,包括拔牙等有创的治疗都不能做,另外还有一些是相对禁忌证,比如高血压、糖尿病、心脏病,只要把相关指标控制在一定范围内,也是有条件做种植的。”

新桥口腔成都衣冠庙院区种植专科主任李阳军
难度大风险高 种牙计划曾搁置
作为亲友团里的晚辈,安女士的口腔状况比长辈们好不了多少。她除了有缺牙,还有多颗牙齿出现松动,严重影响了正常进食。虽然早就考虑过种牙,但在当地就医后被告之手术难度很大,可能面临多种风险,让她一直无法下定决心做种植。
直到自家人周先生在新桥口腔做了半口种植牙,使用几个月以来感觉不错,她才又把种牙这件事提上日程。除了安女士,家里的几位长辈也想种牙,大家一合计,决定组团飞到成都,一起找给周先生种牙的李阳军医生治疗。

新桥口腔成都衣冠庙院区种植专科主任李阳军
“周先生之前种过两颗牙,我为他保留了下颌的种植牙和上颌的种植体,做了上半口种植,下半口也做了两颗种植和联冠修复。”
李阳军医生介绍说,从咬合关系来说半口种植的难度比全口更大,因为全口是重新建立咬合,半口种植需要适应现有的牙齿,在选择种植位点、植入角度时需要考虑更多因素,对种植、修复两个环节的技术要求较高。


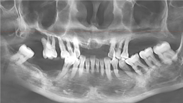
周先生半口种植前后全景片
即拔即种 完成舒适化半口种植
安女士的口腔情况比较复杂,剩余的几颗上牙都是松动牙,下面也仅有几颗门牙还能保留,综合考量后,李阳军医生为她制订了上半口即拔即种,下半口拔1颗松动牙、2颗智齿后即刻种植两颗的治疗方案。这样,只需要种植8颗就能恢复全口咀嚼功能。

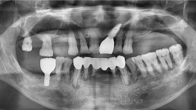
安女士半口种植全景片(种植前)
李阳军医生坦言,安女士的上半口手术具有一定难度。由于骨密度较差,骨量也不够,6颗种植体中有4颗需要特殊术式种植,其中两颗为倾斜种植,她的前牙位置还做了大量的植骨。
李阳军医生对半口全口无牙颌种植具有丰富经验,整个手术不到一个半小时就完成了,由于手术时已是下午五点多,戴牙时间推迟到了第二天。

术前,安女士提到比较担心术中的疼痛问题,李阳军医生为她制订了舒适化种植方案。种植手术全程采用静脉滴注镇静,种植位置局部麻醉,整个手术过程非常顺利和高效,顾客感受也非常轻松舒适。

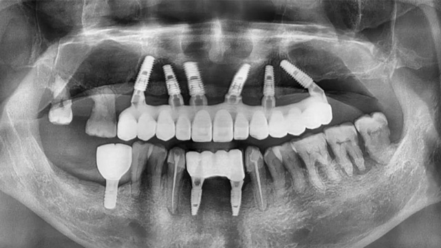
安女士半口种植全景片(种植后)
种一救三 解决缺牙问题
70岁的刘先生口腔状况较好,目前只有一颗缺牙,他与安女士同日完成了种植手术。从进手术间到完成手术,整个过程不到20分钟。李阳军医生说,虽然只缺了一颗牙,但影响范围并不局限于这一颗,如果让它一直缺着,会影响咬合,还会造成食物嵌塞,对其他牙齿也有影响。
“种上这颗牙的意义,不仅是恢复了它的咀嚼功用,还挽救了两边的邻牙,避免了长期缺牙后邻牙的倾斜,也避免了对侧的牙齿出现伸长。”据介绍,刘先生牙槽骨条件比较好,通过上颌窦上提1毫米,没有植骨就顺利完成了种植体的埋入。

其他几位顾客因为身体条件等原因无法接受种植牙手术,或经医生建议选择了非种植的缺牙修复方案,已预约时间进行口内和修复治疗。
未雨绸缪 牙齿也要治未病
在接诊和沟通过程中李阳军医生发现,顾客们的这些牙齿问题有一些是治疗不及时,有一些是治疗不规范造成的,如果能提前几年接受规范治疗,不会发展到牙齿缺失、松动这样的严重程度。除了及时治疗,还要在牙齿出现问题前未雨绸缪,做好清洁保健,定期进行口腔检查,及时修复缺失牙。
李阳军医生也借此提醒广大中老年朋友:“人老了都会掉牙”这个观点是错误的,树立科学的口腔保健意识,掌握正确的口腔清洁保健方法,对自己和家人都有着非常积极的作用。